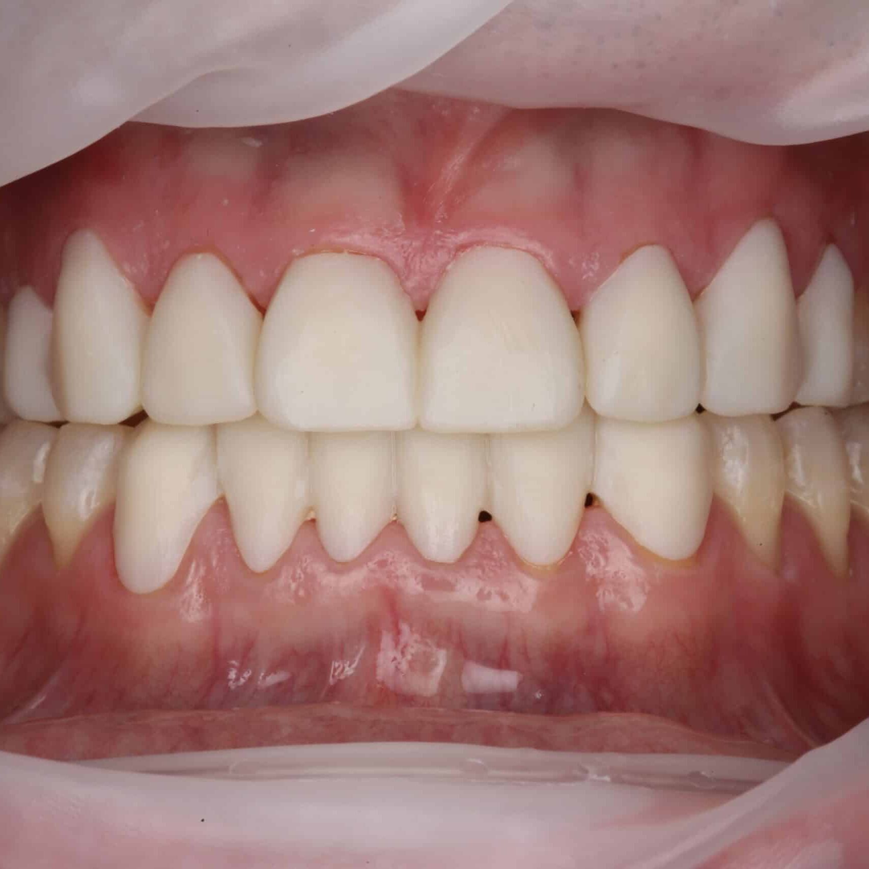
case study 1 - smile design

At our practice, we use cutting-edge digital technology to create beautiful, precise smiles. In this case, we leverage the power of digital workflows to give our patient a completely customized smile makeover. The result? A perfectly tailored, custom-designed in-office, natural-looking smile that showcases the power of digital dentistry.

Male patient visits our office for a consultation, looking to improve his smile. He is concerned with the wear and short appearance of his teeth. He has a restricted arch form of the upper jaw which results in a severe crossbite/underbite.

Orthodontics was utilized to move the teeth in a more idealized position and correct the crossbite. This is a critical step in the process to ensure a more conservative approach to the ceramics/crowns.

Using digital imaging, we captured detailed photos and 3D scans to design the ideal smile, considering both aesthetics and functionality. Our team then virtually designed his smile, allowing the patient to visualize the final result before treatment even began.

Once the design was finalized, we used 3D printing technology to create a mockup of the new smile. This gave the patient a tangible preview of the outcome, increasing their confidence in the procedure.

The 3D printed mockup was transferred to the patient's mouth during the preparation appointment. This was done to create a reduction guide and to ensure the most conservative preparation of the teeth. Only the necessary amount of tooth structure was removed.

brent exocad2

Digital scanning offers a fast, comfortable, and highly accurate alternative to traditional dental impressions. The scanner gently moves around a patient's mouth, creating a detailed digital model without the need for messy impression material. The result is an accurate, quick, and convenient experience for both the patient and the dental team.

Using an intraoral scanner, we captured a precise 3D image of our patient's teeth and gums in minutes.

Our practice uses 3D printed dental prototypes to let you “test drive” your new smile before committing to the final ceramics. After designing your ideal smile using digital imaging, we create a 3D printed prototype that fits over the prepared teeth. This allows you to see and feel the potential results in real life, making adjustments as needed before fabricating the final restorations. It’s a hands-on, visual approach that ensures you’re completely satisfied with your future smile, boosting confidence in the treatment outcomes.

Finally, we fabricated the restorations within our state-of-the-art dental lab at the office.

Our in-office fabrication of dental ceramics combines advanced technology with artistic design to create patient-specific, custom smiles. Using CAD/CAM technology in addition to 3D printing, we craft restorations with a precision fit tailored to your unique dental anatomy.

Each ceramic crown or veneer is designed with a focus on both function and aesthetics, ensuring a natural look that complements your facial features. This personalized solution allows us to deliver high-quality, durable restorations that are not only beautiful but also uniquely crafted for your individual smile.

meet Dr. Timothy Anderson
meet Dr. Timothy Anderson

dr. anderson
MISSOURI RIVER DENTAL

“I believe in comprehensive, quality oral health care that is patient-centered. I strive to create a positive and comfortable experience for each patient while still meeting their dental needs, wishes and expectations.”

Kayla Desk Missouri Dental

our team
MISSOURI RIVER DENTAL

At Missouri River Dental, our goal is to create an exceptional patient experience. We strive to exceed that experience through being compassionate, clinically thorough and providing excellent communication.

contact
our team
today

Every little detail matters,
relationships matter,
experience matters,
first-class dental care matters.

dr. anderson using the solea laser. missouri river dental <br>features the latest in dental technologies.
dr. anderson using the solea laser. missouri river dental
features the latest in dental technologies.

TECH AT
MISSOURI RIVER DENTAL

We were the first to bring the Solea Laser to North Dakota which allowed us to do fillings without anesthetic which was a game changer for the patient experience.

AJ1_1389 EDITED

TEAM AT
MISSOURI RIVER DENTAL

All team members have an education focus in being constant learners in all things dental and you will experience that the minute you walk into our doors.

dental implants help to preserve the integrity of your jawbone density and save your jawbone from atrophy
dental implants help to preserve the integrity of your jawbone density and save your jawbone from atrophy

EDUCATION AT
MISSOURI RIVER DENTAL

We believe that our guests deserve the best in cutting edge technology and information; and we pride ourselves in being experts to answer questions for our guests.

our entire practice centralizes on <br>patient experience and positive dental outcomes.
our entire practice centralizes on
patient experience and positive dental outcomes.

EXPERIENCE AT
MISSOURI RIVER DENTAL

Our goal of this office was to create a dental atmosphere like no other in our community, almost a modern high end hotel-like experience for guests to arrive and feel at ease all while receiving exceptional dental care.