Case Study 4 - Aligners

Clear aligner therapy allows for a fast and efficient way to correct misaligned teeth. Crowding and spacing can be seamlessly corrected by using digital intraoral imaging and photography to create a customized plan for precise and predictable movements. Through detailed imaging, we map out your smile transformation, ensuring every step is tailored to your unique dental needs. This modern approach offers a discreet, comfortable way to achieve a straighter smile with accuracy and confidence.

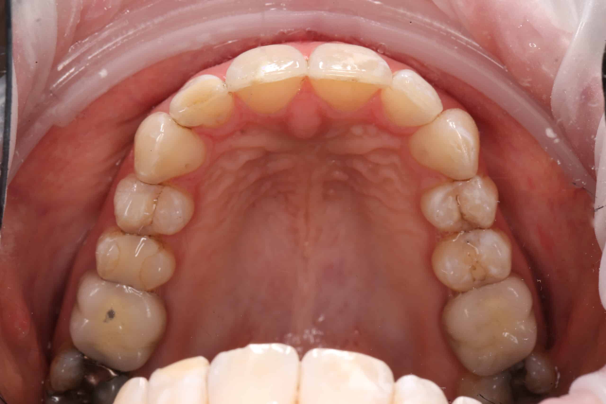
This patient was unhappy with the crowding and positioning of her teeth. The retroclined nature and rotations of her teeth also made cleaning of the dentition more difficult.

Photography and digital 3D imaging were obtained to showcase the teeth crowding and rotation issues to the patient.

The teeth are digitally moved within the impression to a more ideal position. The advanced software then creates a step by step movement plan that will be fast as well as predictable.

The advanced software then creates a step by step movement plan of how many aligners will be required in order to achieve a fast and predictable result.

Individual custom aligners are then fabricated based on each step of the digital plan.

pasted-movie-5

In order to achieve the faster and most predictable movement, composite resin attachments are placed in specific location to aid in the tooth movement.

The patient is then given instruction on how to maintain and use their clear aligners. The aligners are then changed out on a patient-specific frequency to ensure proper tooth movement.

The final results speak for themselves, as the patient's chief concern of the front tooth crowding and rotations have been addressed. In order to ensure long-term stability, clear retainers are fabricated for nighttime wear.

meet Dr. Timothy Anderson
meet Dr. Timothy Anderson

dr. anderson
MISSOURI RIVER DENTAL

“I believe in comprehensive, quality oral health care that is patient-centered. I strive to create a positive and comfortable experience for each patient while still meeting their dental needs, wishes and expectations.”

Kayla Desk Missouri Dental

our team
MISSOURI RIVER DENTAL

At Missouri River Dental, our goal is to create an exceptional patient experience. We strive to exceed that experience through being compassionate, clinically thorough and providing excellent communication.

contact
our team
today

Every little detail matters,
relationships matter,
experience matters,
first-class dental care matters.

dr. anderson using the solea laser. missouri river dental <br>features the latest in dental technologies.
dr. anderson using the solea laser. missouri river dental
features the latest in dental technologies.

TECH AT
MISSOURI RIVER DENTAL

We were the first to bring the Solea Laser to North Dakota which allowed us to do fillings without anesthetic which was a game changer for the patient experience.

AJ1_1389 EDITED

TEAM AT
MISSOURI RIVER DENTAL

All team members have an education focus in being constant learners in all things dental and you will experience that the minute you walk into our doors.

dental implants help to preserve the integrity of your jawbone density and save your jawbone from atrophy
dental implants help to preserve the integrity of your jawbone density and save your jawbone from atrophy

EDUCATION AT
MISSOURI RIVER DENTAL

We believe that our guests deserve the best in cutting edge technology and information; and we pride ourselves in being experts to answer questions for our guests.

our entire practice centralizes on <br>patient experience and positive dental outcomes.
our entire practice centralizes on
patient experience and positive dental outcomes.

EXPERIENCE AT
MISSOURI RIVER DENTAL

Our goal of this office was to create a dental atmosphere like no other in our community, almost a modern high end hotel-like experience for guests to arrive and feel at ease all while receiving exceptional dental care.